IVOT
INSTITUTO VETERINARIO DE ORTOPEDIA Y TRAUMATOLOGíA
Sobre IVOT
Quienes Somos
Investigación
Servicios clínicos
Formación
Cursos
Prácticas Cursos
Material Didáctico
Colaboradores
Empresas colaboradoras
Enlaces
Déjenos sus datos
Divulgación
Opinión
Medicina bioregenerativa
Casos Clínicos
Noticias
Artículos
Trucos
Revisión Bibliográfica
Información clínica
Fijación Externa
Artroscopia
Displasia Cadera
Fijación Interna
Articulaciones
Fisioterapia
Localizador especialistas
Contacto
Fijación externa en IVOT
Fijación Externa
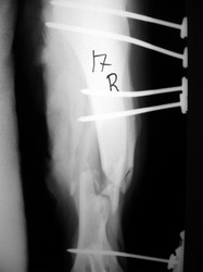
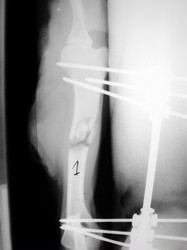
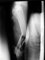
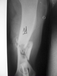
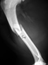
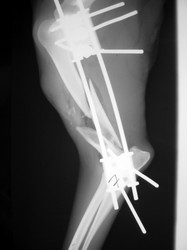
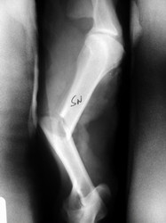
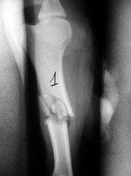
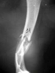
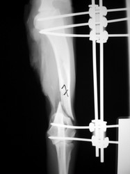
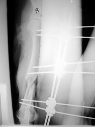
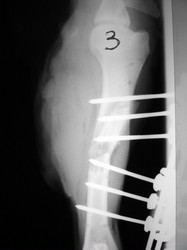
PRÁCTICAS CURSO DE FIJACIÓN EXTERNA PERFECCIONAMIENTO.
Húmero.