Fijación Externa
PRÁCTICAS CURSO DE FIJACIÓN EXTERNA INICIACIÓN-III CURSO.
Oms.
|
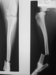
Fractura 11
Fractura 12
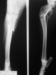
Fractura 33
Fractura 34
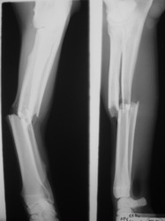
Fractura 35
Fractura 36
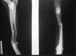
Fractura 37
Fractura 38
Fractura 39
Fractura 40
|
PRÁCTICAS CURSO DE FIJACIÓN EXTERNA INICIACIÓN-III CURSO.
Oms.
|
Fractura 11
Fractura 12
Fractura 33
Fractura 34
Fractura 35
Fractura 36
Fractura 37
Fractura 38
Fractura 39
Fractura 40
|